無料配達 歯科矯正 トミー バンド 上下左右 バンド/ウェルディングサービス トミー株式会社 その他
(3023件)
Pontaパス特典
サンキュー配送
18150円(税込)
182ポイント(1%)
Pontaパス会員ならさらに+1%ポイント還元!
送料
(
)
3022
配送情報
お届け予定日:2026.04.10 18:42までにお届け
※一部地域・離島につきましては、表示のお届け予定日期間内にお届けできない場合があります。
ロットナンバー
21792263426
お買い物の前にチェック!
Pontaパス会員なら
ポイント+1%
ポイント+1%
商品説明
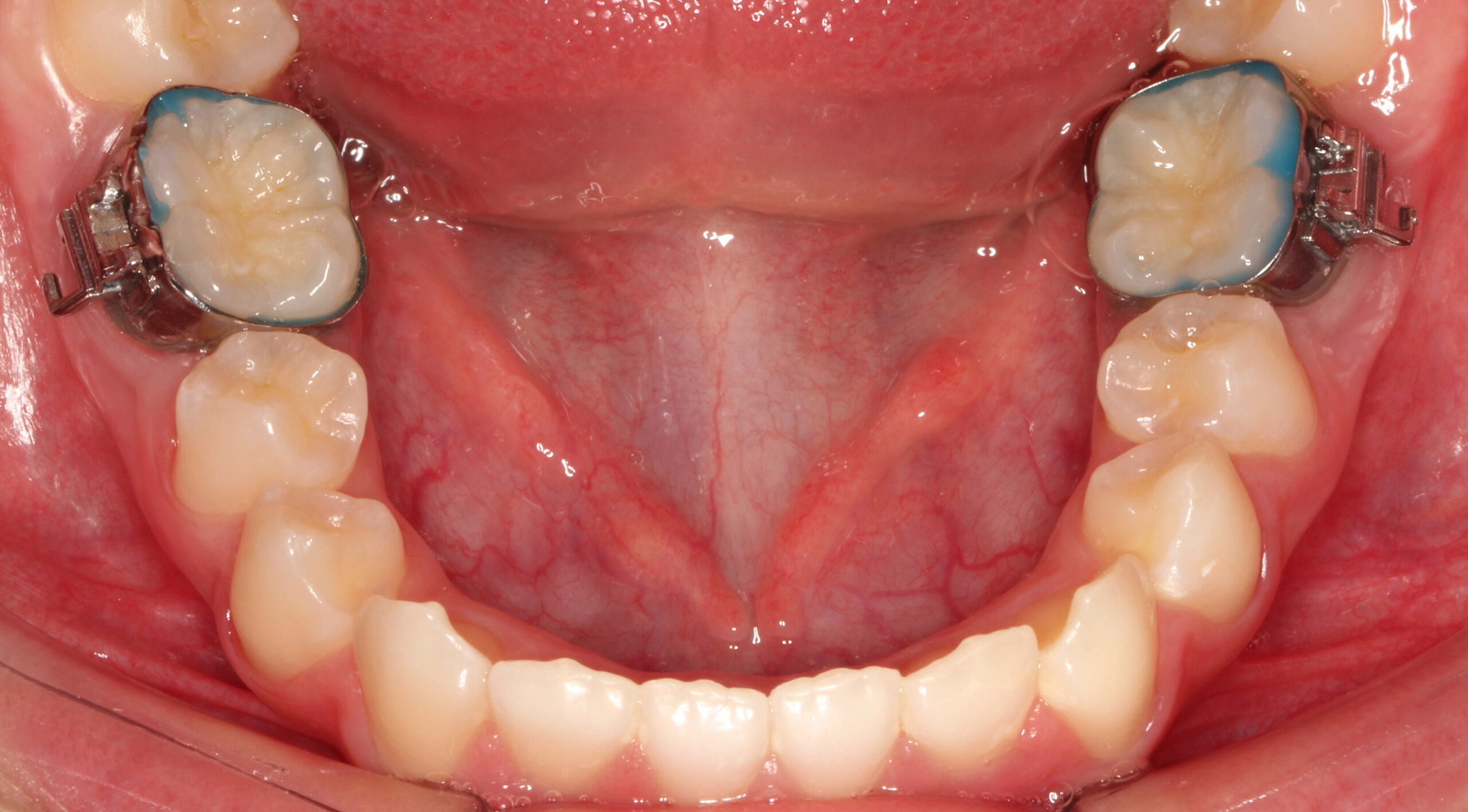
必読☺️お願い致しますこの商品に関しては、みえるところにあるため、発送可能です歯科矯正用バンド残っているものは新品です上下左右そろっています| カテゴリー: | コスメ・美容>>>オーラルケア>>>その他 |
|---|---|
| 商品の状態: | 未使用に近い","数回使用し、あまり使用感がない |
| 配送料の負担: | 送料込み(出品者負担) |
| 配送の方法: | 佐川急便/日本郵便 |
| 発送元の地域: | 大阪府 |
| 発送までの日数: | 4~7日で発送 |
レビュー
商品の評価:




4.0点(3023件)
- 由宏◎
- とってもおいしいです。。。満足の一品です。
- hamil1
- リピです。美味しいお魚を食べたくなったらこれ。実家の分も一緒に注文しました。
- りんごちゃん88
- お弁当のおかずにしました。冷めてもとってもおいしかったです。いいおかずになりました。
すべて見る
お店の情報
7,367
連絡・応対
4.3
配送スピード
4.3
梱包
4.3










